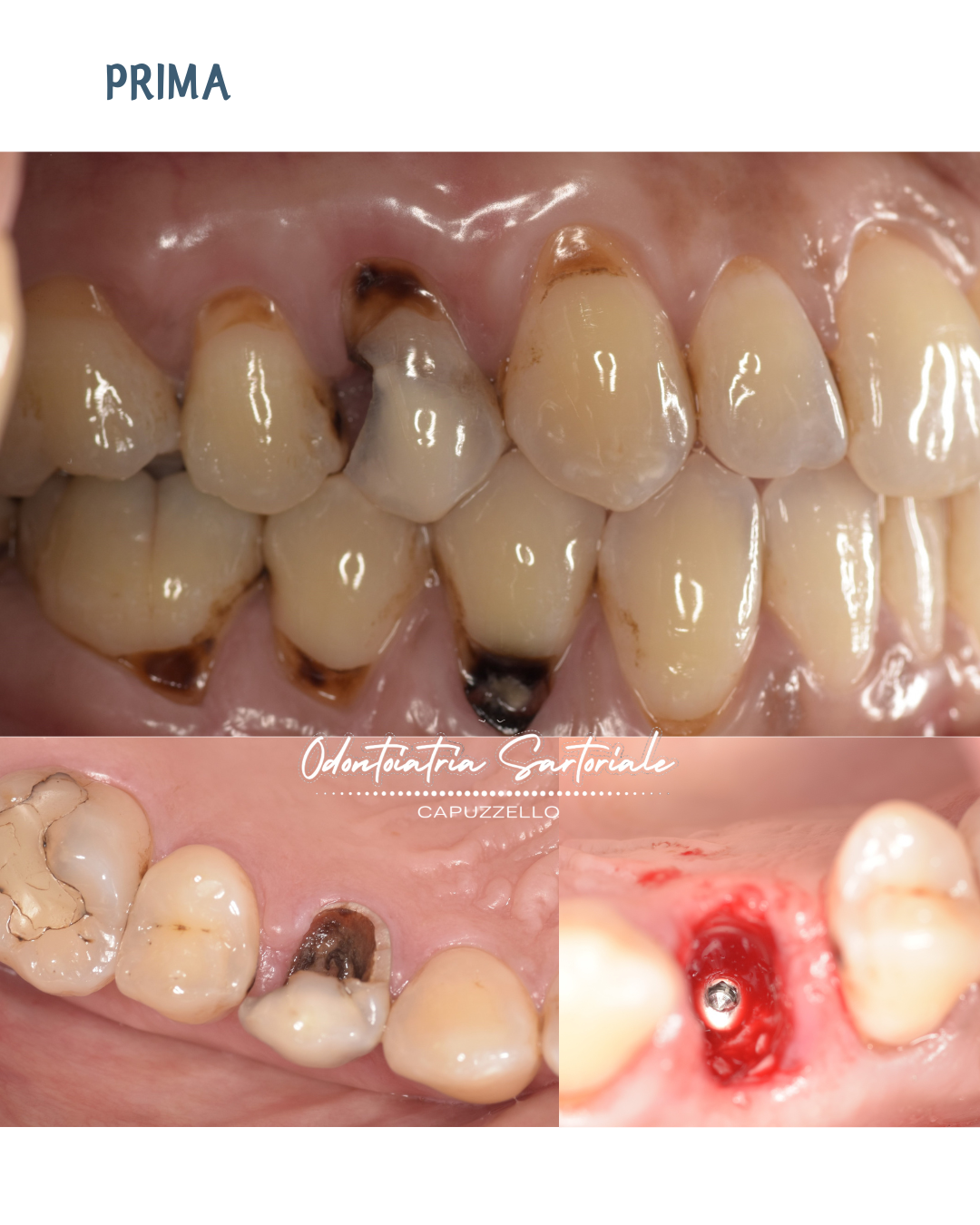
Quando un dente si frattura, per fortuna si può rimediare!
In questo caso, abbiamo sostituito un premolare con un impianto post-estrattivo, cioè inserito subito dopo l’estrazione.
✅ Vantaggi?
– Permette di guadagnare tempo sulla protesi definitiva
– Migliore gestione dei tessuti gengivali
– Possibilità di carico immediato, quindi di inserire un dente provvisorio nell’attesa 💪
E sì… la paziente, altamente cario-ricettiva, può finalmente rilassarsi:
gli impianti, almeno loro, non si cariano! 😄

