CASI CLINICI
Come nasce il progetto di un sorriso
Non è solo un’impronta.
È il progetto di un sorriso. 😁
Le impronte ottiche ci permettono di studiare il sorriso prima ancora che esista.
Niente paste fastidiose, niente approssimazioni: solo precisione, comfort e visione. 😉
Ogni dettaglio […]
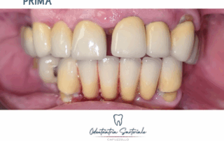
Riabilitazione implantare e della chiusura del diastema centrale
Un lavoro ancora in fase di rifinitura, ma già molto significativo.✨
In questo caso siamo partiti da un morso molto profondo e da una gestione attenta degli spazi dentali, fondamentale per poter arrivare a […]
Dente compromesso o possibilità?
C’è chi vede un dente compromesso e chi invece una possibilità.✨
In questo caso clinico, un trauma aveva lasciato un dente discromico e necrotico, con canale radicolare calcificato.
Un trattamento complesso, affrontato sotto microscopio, ha […]
Quando il bite non è un optional
Nei pazienti che soffrono di bruxismo, il bite non è un optional.
È uno strumento fondamentale, soprattutto quando sono presenti impianti o protesi.
Il bite:
1️⃣ protegge denti, impianti e corone dentali mantenendo stabile il lavoro […]
Quando si deve ricorrere all’estrazione di un dente
Ci sono estrazioni semplici.
E poi ci sono quelle che richiedono studio, tecnica e massima attenzione. 🦷🔍
In questo caso clinico è stato necessario estrarre un dente del giudizio cariato sintomatico.
Questa estrazione era particolarmente complessa […]
Restituire funzione e stabilità ad un sorriso
Come abbiamo restituito funzione e stabilità ad un sorriso con due soluzioni diverse ✨
In questo caso abbiamo restituito funzione e stabilità con due soluzioni diverse ma perfettamente coordinate:
• arcata superiore con protesi mobile
• […]
Le faccette permettono di correggere in modo mirato e controllato
Le faccette permettono di correggere forma, proporzioni e colore in modo mirato e controllato. ✨
In questo caso l’obiettivo è stato migliorare l’armonia del sorriso, rispettando denti, gengive e caratteristiche del volto della paziente […]
Anche gli adulti possono migliorare il proprio sorriso
Anche da adulti si può migliorare il proprio sorriso e ripristinare la corretta occlusione.✨
In questo caso abbiamo corretto una situazione complessa senza estrazioni e con un trattamento ortodontico composta da allineatori trasparenti, pensato […]







